Skip to cookie consent Skip to main content

Following Treatment for a Brain Tumor, Cory Is in It for the Long Run

Contributors: Daniel Cahill, MD, PhD; Kevin Oh, MD; Nancy Wang, MD, MPH
5 minute read
Cory Gardner

Like many patients who are affected by a brain tumor, Cory Gardner never saw his coming.

At age 46, Cory was in good health and physically active. In addition to completing three marathons on his own, he often served as a sighted guide during marathons and half marathons for runners who are blind or visually impaired.

Cory with his husband, Joe.
Cory (right) with his husband, Joe.

These incredible experiences would make it even more difficult to grapple with the shocking revelation soon to come: He may lose the ability to walk.

One night, Cory woke up feeling something was wrong. His husband, Joe Bragdon, called 911. By the time the ambulance arrived, Cory had begun having a series of terrifying episodes. At a local emergency room, clinicians gave him medication for stress. He was discharged after about 12 hours of observation.  

Back at his home in Boston's Roxbury neighborhood, things did not improve; instead, they quickly got worse. Cory had a massive seizure that caused him to bite through his tongue. Upon returning to the hospital, he had a CT scan that found a tumor in his brain. On the recommendation of a cardiologist friend, he requested a transfer to Massachusetts General Hospital.

In the two-and-a-half years since, Cory has faced more than his share of obstacles and setbacks. He has had brain surgery followed by radiation therapy and chemotherapy. And he has had to leave behind his 25-year career as a hair stylist. But he's alive—and grateful for it. 

"I'm not psyched that I can't continue doing what I'd done for so long, but I can't worry about things I can't control," he said. "That's how I've always thought about it. This is what it is now, and I just have to put one foot in front of the other." 

At risk of never walking again

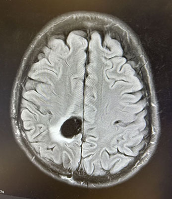
Cory’s brain scan.
Cory’s brain scan.

At Mass General Brigham Cancer Institute, Cory met with neurosurgical oncologist Daniel Cahill, MD, PhD, and neuro-oncologist Nancy Wang, MD, MPH. As they explained, an MRI scan showed Cory had a glioma—the most common brain tumor in adults. 

Now the question was, what type of glioma? Dr. Cahill had his suspicions. 

"At Mass General Brigham Cancer Institute we see hundreds of glioma patients every year," he said. "Cory's tumor looked different than the most commonly seen gliomas and had features suggesting it might be an oligodendroglioma. 'Oligos,' as we call them, are rare. About 1 in 15 patients who have signs of glioma on their MRI scan will have an oligo." 

Getting a definitive upfront answer is key for managing these patients correctly. In Cory's case, it would require a brain biopsy, which involves taking a small sample from the tumor for testing. Dr. Cahill quickly moved ahead with the biopsy, which confirmed the oligo diagnosis.  

Oligos are slow-growing tumors. While there's no cure, they can be highly treatable. Cory's treatment plan started with surgery to remove the tumor. Next, he had six weeks of radiation and then a year and a half of chemotherapy to kill any active cancer cells that remained. 

"Dr. Cahill didn't mince any words. He said that with aggressive brain surgery in this area, many patients experience temporary weakness in their leg. In fact, there was a small but real risk I might never walk again," Cory said. "But having worked with adaptive athletes as a sighted guide, I have friends who are in wheelchairs and have amazing lives without restrictions or limitations. That made it much less scary for me and helped me keep a positive outlook." 

'A complicated three-way dance'

Cory underwent surgery at Mass General two months later. Dr. Cahill knew it would be a complex procedure—even by the standards of brain surgery. But given that he and his multidisciplinary team routinely perform 75 to 100 operations a year to remove gliomas, he was prepared and confident.

The central portion of Cory's oligo was the size and shape of a lime, with wispy, tentacle-like extensions at the margins. Dr. Cahill's goal was to safely remove the main mass, leaving the remaining tendrils to be treated via radiation and chemotherapy.

Accessing and removing the tumor would be a delicate process. It was located underneath the part of the brain wiring that controls leg function. Each time Dr. Cahill took out a sliver of the tumor at the edge of this region, he and his colleagues tested leg function to confirm no damage had been done.

"An operation like this is a complicated three-way dance," Dr. Cahill said. "There's the neurosurgery team. There's the neurology team monitoring the patient's ability to move their leg. And there's the anesthesia team, who must give the right mix of medications to allow for proper monitoring of leg function. All of those disciplines contribute to a good result."

After waking up from the six-hour surgery, Cory immediately got an encouraging sign. "I remember being able to wiggle my left toes and this flood of relief going through me," he said. "I figured if this is where I'm at directly post-surgery, I'm going to be in good shape."

Recovery and a return to running

Cory with some of his care team.
Cory with some of his care team.

Two days later, Cory shocked his nurse by being able to walk with the assistance of a walker. One week after surgery, he went home. Over the next six weeks, he had occupational therapy at Spaulding Rehabilitation and physical therapy at Brigham and Women's Hospital. 

As he regained the ability to walk, Cory began radiation under the watch of radiation oncologist Kevin Oh, MD. Then came the extended course of chemotherapy, which Dr. Wang oversaw. It was a long, grueling road, but Cory stayed upbeat throughout. 

"I looked at my treatment as the Boston Marathon," he said. "The surgery would be like going from Hopkinton to Framingham. Radiation would be getting to Wellesley, and chemotherapy would be reaching the finish line." 

Cory had managed to complete a 5K during chemotherapy and a 10K two weeks after chemotherapy ended. Less than two years post-surgery, he ran his first half marathon since becoming ill.  

"I can't run a seven-minute mile anymore, but everything I can do is something that was not promised to me," he said. "I take that as a gift every day." 

A healthy perspective

Cory, now 49, sees Dr. Wang for follow-up every few months. Thus far, he has had a clean bill of health. Unfortunately, oligos always have some cells that survive treatment, lie dormant, and can later become active. As a result, there's a risk his cancer will eventually return.

Dr. Wang remains optimistic. "There's a lot of promising research and trials taking place at Mass General Brigham," she said. "I'm hopeful that Cory will do very well for a long time—and that if the tumor does grow back, safe and effective new therapies will be available to treat it."

Cory is doing his best to adapt to his new reality. Since standing on his feet all day isn't possible anymore, he had to close his hair salon. He recently enrolled in college to study accounting and looks forward to launching a career in that field.

"I want people to know that getting a devastating diagnosis doesn't have to be the end of your story," he said. "It can be a different chapter of your life, and you just have to roll with the punches."

Daniel Cahill, MD, PhD

Contributor

Neurosurgical Oncologist
Kevin Oh, MD

Contributor

Radiation Oncologist
Nancy Wang, MD, MPH

Contributor

Neuro-oncologist